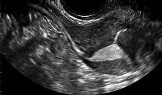
يتم عمل فحص الرحم و قنوات فالوب بحقن مادة مخصوصة للانعكاس على جهاز السونار باستخدام قسطرة رفيعة تمر من خلال عنق الرحم لحقن المادة. ثم يتم بعدها الفحص باستخدام جهاز السونار. تستخدم هذه الطريقة لان نتائجها تماثل اشعة الصبغة لكن تمتاز بعدم الحاجة الي تخدير عام او التعرض لإشعاع اكس راي. لكن تفتقر الي اعطاء معلومات عن عدم وجود التصاقات في حوض البطن.


نلتزم بأحدث التوصيات العالمية من: الجمعية الأمريكية للطب التناسلي (ASRM)، الجمعية الأوروبية للتكاثر البشري وعلم الأجنة (ESHRE)، الكلية الملكية لأطباء النساء والتوليد (RCOG)، الجمعية الأوروبية للتجميل النسائي (ESAG)، والجمعية الدولية لطب التجميل النسائي (ISCG).
آراء المرضى حول الخدمات في العيادة
شاهدي تقييماتنا على Google Maps، Vezeeta، وWhatClinic؛ وبهذا يمكنك الاطلاع على تجارب المريضات قبل حجز الموعد.
لماذا تختارين الدكتور أشرف صبري؟
د. أشرف صبري، استشاري أمراض النساء والتوليد وتأخر الإنجاب وجراح التجميل النسائي، أحسن دكتور أمراض النساء والتوليد وتأخر الإنجاب في مصر بخبرة أكثر من ٢٠ عامًا. كما نعتمد بروتوكولات حديثة لضمان أعلى درجات الأمان والنتائج المتوقعة. عيادتنا موجودة في القاهرة والجيزة؛ لذا احجزي الآن عبر صفحة الاتصال أو تواصلي عبر الواتساب أو الاتصال على الرقم +201022224442.

